Patientfall

1 Ojämn tandrad

2 Missfärgade tänder

3 Implantat och broar

4 Glesa tänder

5 Ojämna tänder

6 Ojämna framtänder

7 Skadade tänder

8 Invisalign - Tandreglering

9 Composite

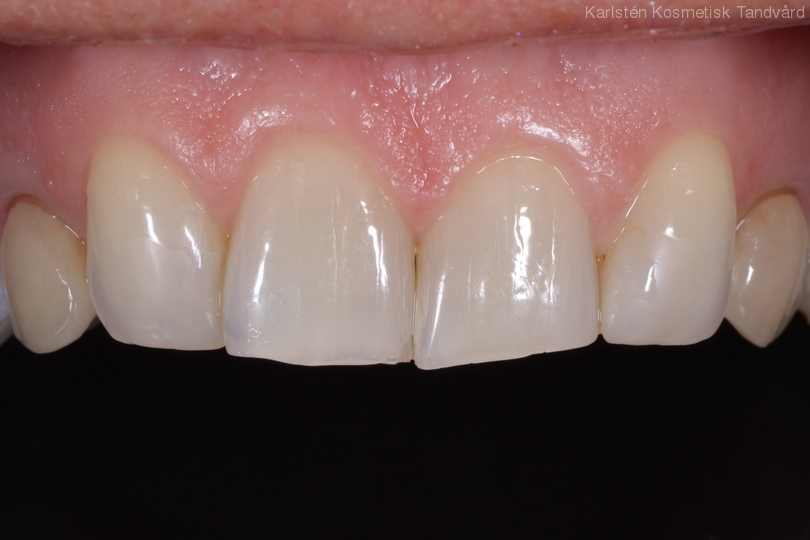
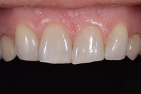
Förfining av skadade tänder 1

Skadade framtänder samt kvarvarande mjölktänder. Behandling: Generell blekning, laserkonturering av tandköttet samt benplastik, 4 fasader och 2 kronor.