Patientfall

1 Ojämn tandrad

2 Missfärgade tänder

3 Implantat och broar

4 Glesa tänder

5 Ojämna tänder

6 Ojämna framtänder

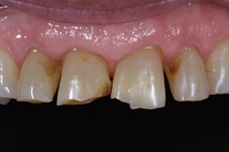
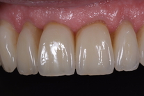
7 Skadade tänder

8 Invisalign - Tandreglering

9 Composite

Skadade tänder 2

Kraftigt slitet och gnisslat bett. Behandling: 10 porslinskronor i överkäken.