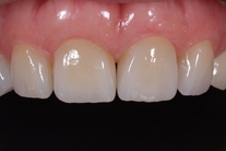
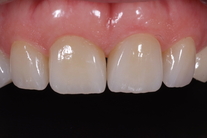
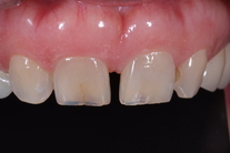
Missnöjd med glesa och slitna framtänder. Behandling: Generell blekning, laserkonturering av tandköttet samt 4 fasader och 1 krona.