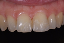
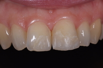
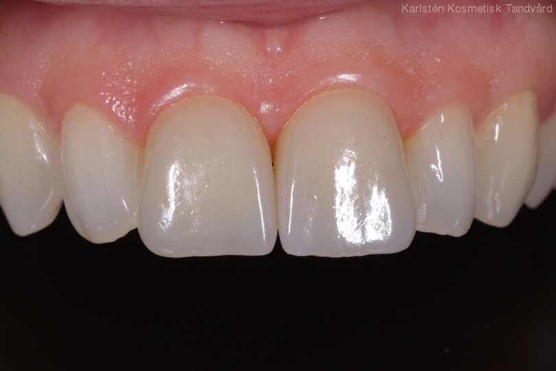
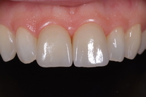
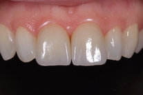
Båda framtänderna skadade i cykelolycka och provisoriskt lagade med plastfyllningar. Behandling: Generell blekning samt 2 fasader på framtänderna.