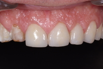
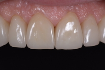
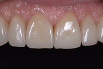
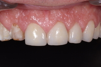
Gamla fasader som inte fungerar i bettet samt lossnar. Behandling: 28 tänder uppbyggda i en korrekt position samt höjning av bettet.