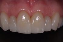
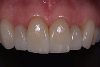
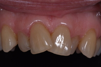
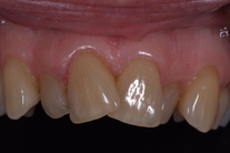
Kraftig trångställning och missfärgade tänder. Behandling: Generell blekning och 6 fasader i överkäken.