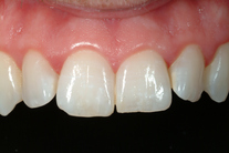
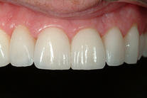
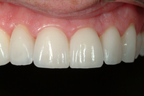
Sneda och roterade tänder rätades ut och gjordes mer symmetriska. Behandling: Generell blekning samt 6 fasader.