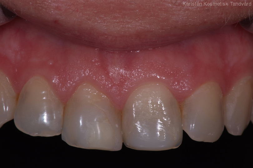
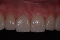
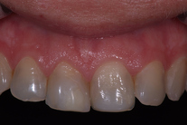
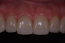
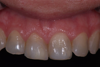
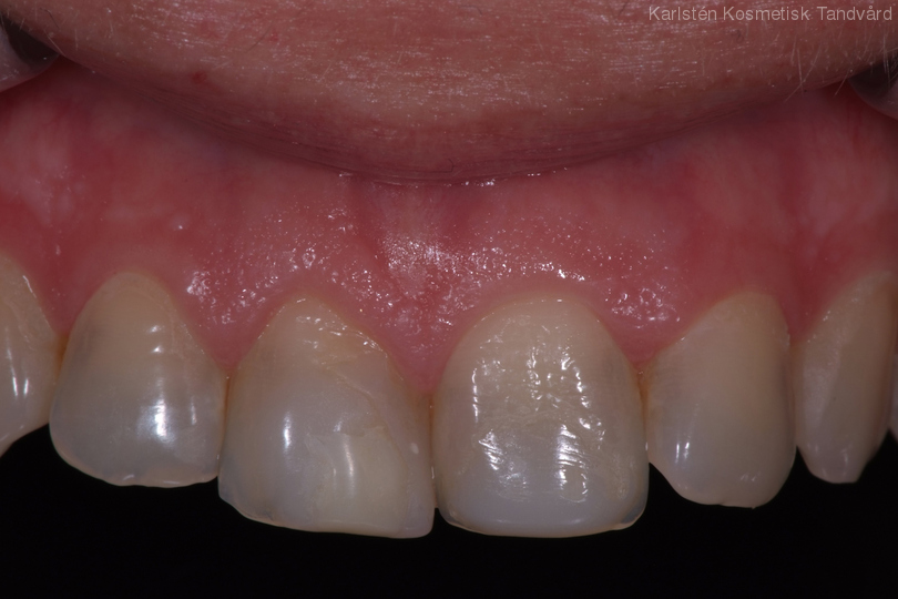
Ojämna, skadade tänder generellt. Behandling: Generell blekning, 14 kronor, laserkonturering av tandköttet samt 2 composite-fyllningar.