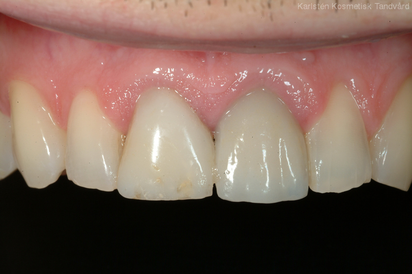
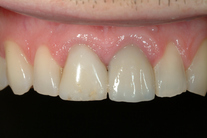
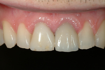
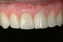
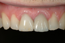
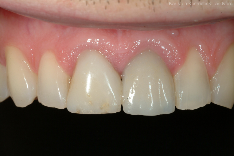
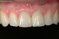
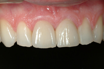
2 framtänder i överkäken med dåliga fasader och bakterieläckage på baksidan. Behandling: Generell blekning samt 2 porslinskronor.