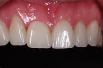
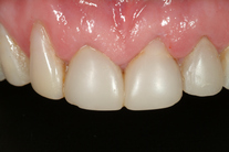
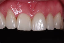
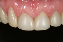
6 gamla plastfasader med inflammation i tandköttet pga dåliga skarvar. Behandling: Generell blekning samt 6 porslinsfasader.