Patientfall

1 Ojämn tandrad

2 Missfärgade tänder

3 Implantat och broar

4 Glesa tänder

5 Ojämna tänder

6 Ojämna framtänder

7 Skadade tänder

8 Invisalign - Tandreglering

9 Composite

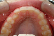
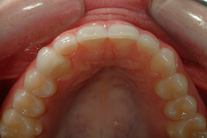
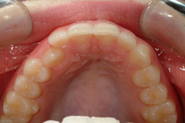
Ojämn hörntand 2

19-årig flicka som har felställning på en hörntand. Behandling med laserkonturering och 1 fasad.