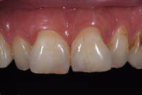
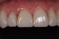
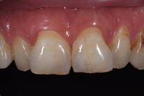
Kraftigt missfärgade tänder och fyllningsskarvar samt karies. Behandling: Generell blekning, 6 fasader och 4 kronor i överkäken samt 6 kronor i underkäken.