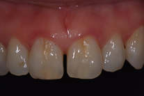
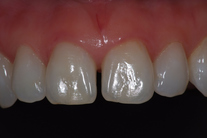
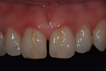
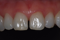
Patient med 3 skadade och missfärgade framtänder. Behandling: Generell blekning samt 3 compositefyllningar.