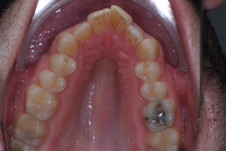
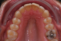
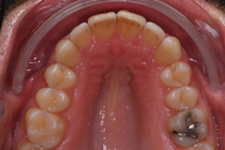
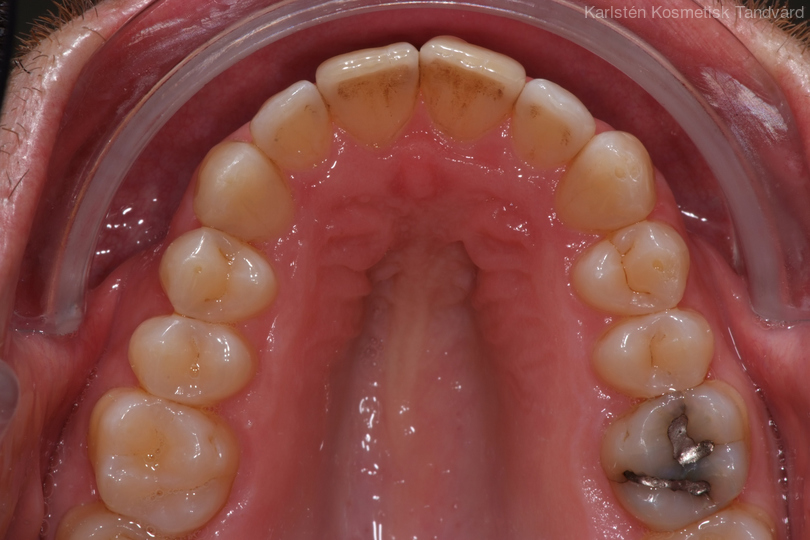
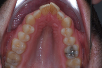
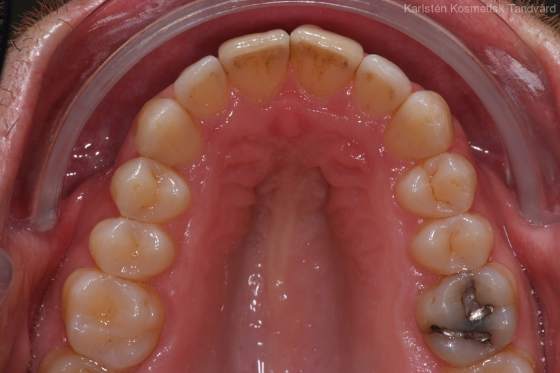
35-årig man med smal och trångställd tandbåge. Vill ha ett jämnt leende. Behandling bestod av knappt 9 månader med genomskinliga Invisalignskenor.