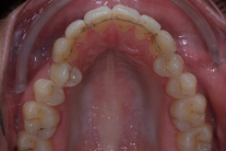
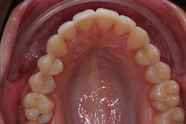
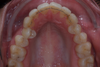
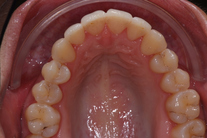
Ung kvinna som tidigare haft tandreglering. Upplever inte att tänderna står i en fin tandbåge. 11 månaders behandling med genomskinliga Invisalignskenor resulterade i ett fint leende.