Patientfall

1 Ojämn tandrad

2 Missfärgade tänder

3 Implantat och broar

4 Glesa tänder

5 Ojämna tänder

6 Ojämna framtänder

7 Skadade tänder

8 Invisalign - Tandreglering

9 Composite

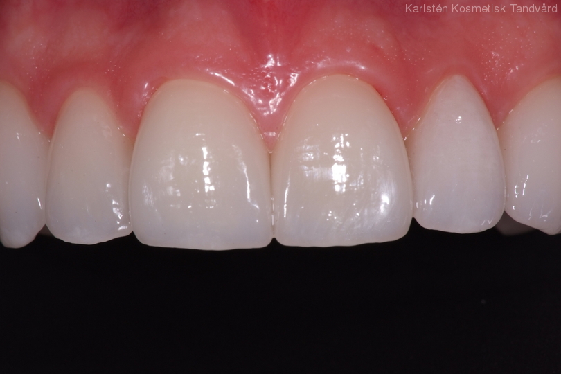
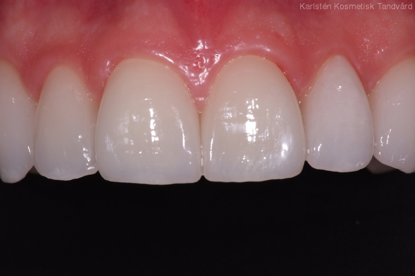
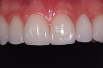
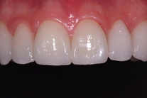
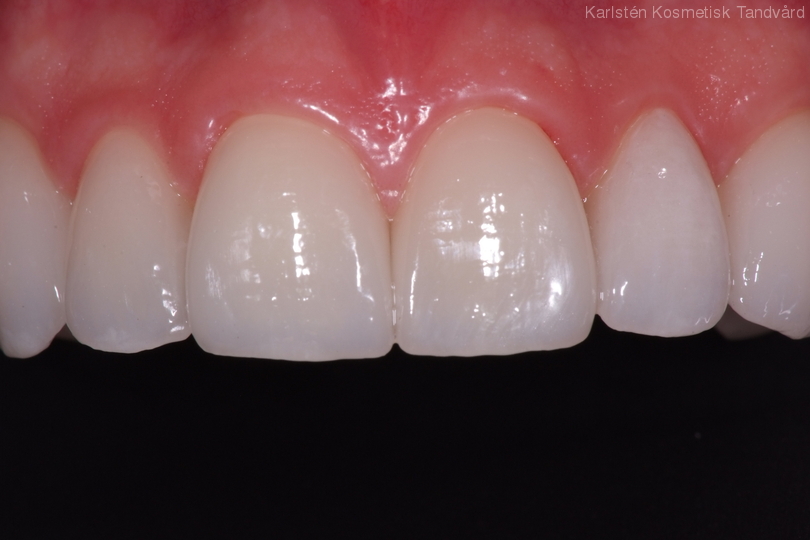
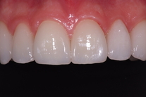
Missfärgade tänder 17

Ung kvinna med missfärgade compositefasader. Behandling: Generell blekning, 2 fasader samt 6 kronor i överkäken.