Patientfall

1 Ojämn tandrad

2 Missfärgade tänder

3 Implantat och broar

4 Glesa tänder

5 Ojämna tänder

6 Ojämna framtänder

7 Skadade tänder

8 Invisalign - Tandreglering

9 Composite

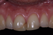
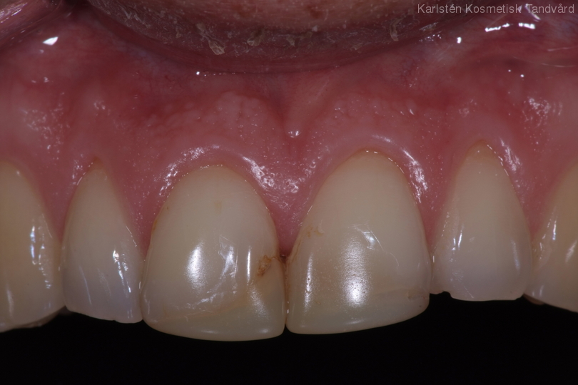
Missprydande framtänder 16

3 framtänder skadade för ett antal år sedan. Då lagade med compositefyllningar. Behandling: Generell blekning, 1 krona och 2 fasader.