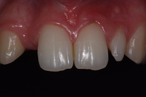
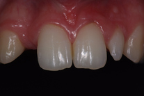
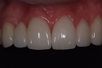
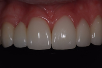
19-årig kvinna som saknar en framtand samt har en missformad tapptand. Behandling: Generell blekning, 3 fasader och bro med 3 tänder.