Patientfall

1 Ojämn tandrad

2 Missfärgade tänder

3 Implantat och broar

4 Glesa tänder

5 Ojämna tänder

6 Ojämna framtänder

7 Skadade tänder

8 Invisalign - Tandreglering

9 Composite

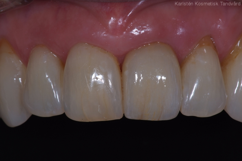
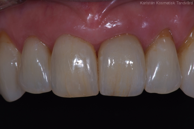
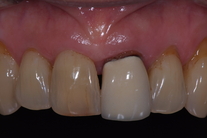
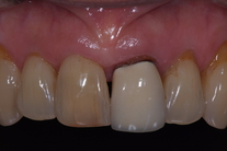
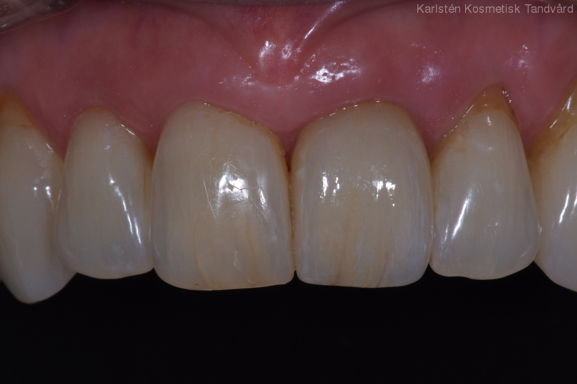
Förfining av skadade tänder 16

Skadad framtand med gammal krona. Behandling: Generell blekning, utbyggnad av ena framtanden med compositfyllning samt ny krona.