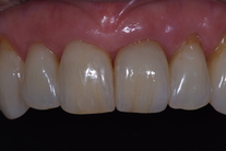
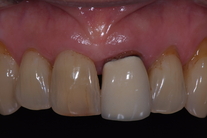
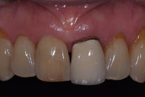
Skadad framtand med gammal krona. Behandling: Generell blekning, utbyggnad av ena framtanden med compositfyllning samt ny krona.