Patientfall

1 Ojämn tandrad

2 Missfärgade tänder

3 Implantat och broar

4 Glesa tänder

5 Ojämna tänder

6 Ojämna framtänder

7 Skadade tänder

8 Invisalign - Tandreglering

9 Composite

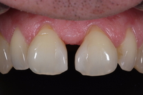
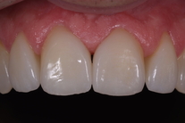
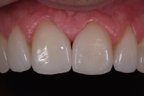
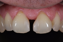
Glesa tänder 9

Stort mellanrum mellan framtänderna, tidigare lagat med composite. Behandling: Generell blekning, 2 fasader och 2 kronor.