Patientfall

1 Ojämn tandrad

2 Missfärgade tänder

3 Implantat och broar

4 Glesa tänder

5 Ojämna tänder

6 Ojämna framtänder

7 Skadade tänder

8 Invisalign - Tandreglering

9 Composite

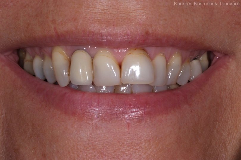
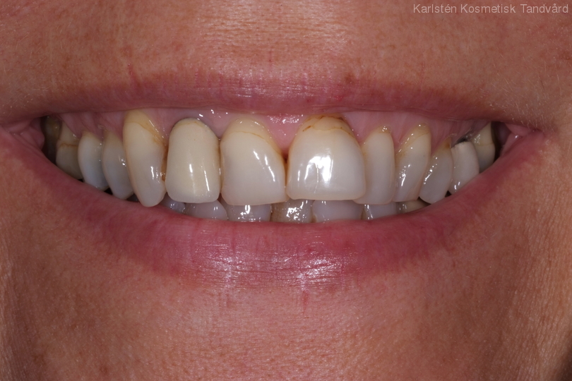
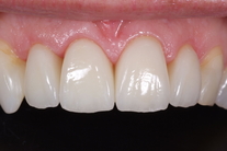
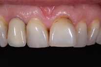
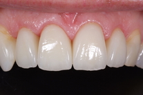
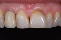
Missfärgade tänder 12

Missfärgade framtänder som är olika stora och har olika färg. Behandling: Generell blekning, laserkonturering av tandköttet, 2 compositefyllningar på hörntänderna samt 4 kronor.