Patientfall

1 Ojämn tandrad

2 Missfärgade tänder

3 Implantat och broar

4 Glesa tänder

5 Ojämna tänder

6 Ojämna framtänder

7 Skadade tänder

8 Invisalign - Tandreglering

9 Composite

Förfining av tänder 6

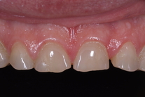
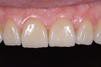
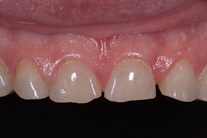
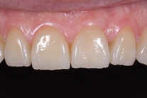
Slitna tänder generellt. Behandling: Blekning samt 8 kronor i överkäken samt 6 kronor i underkäken.