Patientfall

1 Ojämn tandrad

2 Missfärgade tänder

3 Implantat och broar

4 Glesa tänder

5 Ojämna tänder

6 Ojämna framtänder

7 Skadade tänder

8 Invisalign - Tandreglering

9 Composite

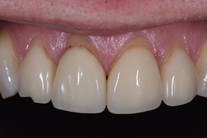
Bro på 4 framtänder 7

1 framtand togs bort pga rotspricka. Behandling: Generell blekning samt bro på 4 tänder.