Patientfall

1 Ojämn tandrad

2 Missfärgade tänder

3 Implantat och broar

4 Glesa tänder

5 Ojämna tänder

6 Ojämna framtänder

7 Skadade tänder

8 Invisalign - Tandreglering

9 Composite

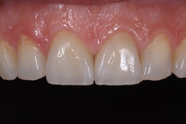
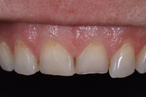
Ojämna framtänder 10

2 framtänder som står bakåttippade. Nötta av tandgnissling. Behandling: Inkorrigering av bettet samt 2 fasader.