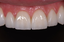
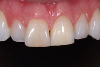
2 framtänder skadade av slag och blivit missfärgade. Dessutom ojämna framtänder. Behandling: Generell blekning samt 4 porslinsfasader.