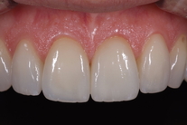
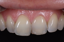
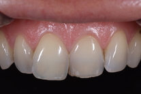
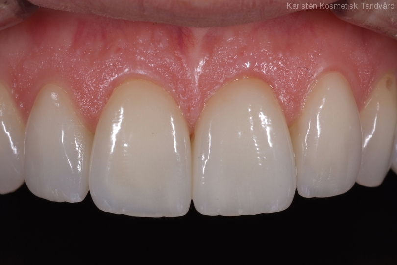
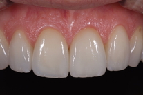
Missnöjd med ojämna framtänder med missfärgningar. Behandling: Generell blekning, 4 porslinsfasader.