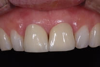
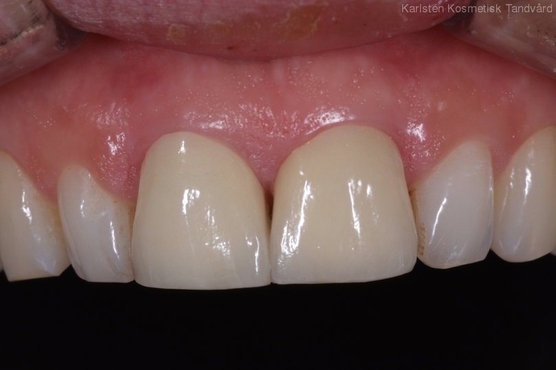
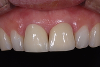
2 gamla kronor med fel färg och form samt slitna hörntänder. Behandling: Generell blekning, 2 kronor och 2 fasader på 4 framtänder. Composite fyllningar på hörntänderna.