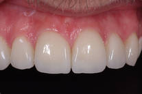
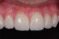
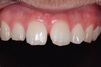
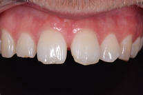
Mellanrum mellan flera framtänder samt trasiga hörn och felaktig lutning på framtänderna. Behandling: Generell blekning samt 6 porslinsfasader.